  | 
| images taken with my lap top camera | 
Just two days ago the insurance finally agreed to cover my knee surgery - but as there are no specialists in Vietnam, I have had to fly to Bangkok and admit myself to the Bumrungrad international hospital.I flew in in the morning of Friday 17th December and arrived at the hospital at 1pm. I was whisked from one department to another and into see the specialist team who would carry out the surgery. By 3.30 I was in the prep room, lying on an operating bed waiting for the anaesthetist to put me to sleep. I challenged her that this time I would get to 10 before she put me asleep, I remember getting to 10 and then it was lights out.
_______________________________________________________________________________
  | 
| Knee has to be raised and kept straight, OWWWW! | 
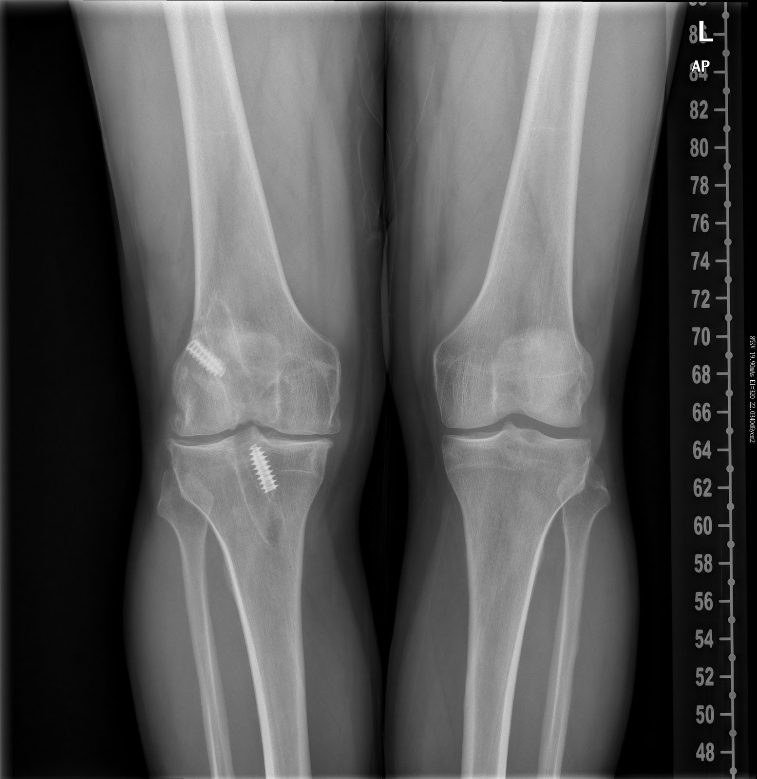
Its now midday here on Saturday 18th December and I am lying on a hospital bed once again....my knee is a disaster. I had a 5 hour surgery!!! It was all a bit tricky in the end. There were 3 specialists on the case. I woke up at 11.30pm in the recovery room and had a fitful and morphine infused nights sleep. I stopped taking the morphine about 3 hours ago (its now 12 noon), as it was doing my head in so to speak!. Now the pain is pretty bad, but at least I am awake and compus mentis. The doctor arrived to check me out a few minutes ago and he told me of the saga.. they have taken my ACL completely out as both the original and the revision were non-functional. then they drilled out the retaining screws and replaced the holes in the base of the femur and top of the tibia with a graft from my hip - A 2cm by 5cm core was hand-drilled direct from my hip, my perfectly functional pelvic bone to facilitate this!! Bits of this section have now plugged the old screw and ACL holes which will, in time fuse with the bone around it filling all the holes back in. They had also taken some slivers of the section and screwed this into the top of my tibia with the aid of a titanium plate. They did this as they felt that by re-aligning my bones, I should walk properly again without an ACL. Also they suggest that this will reduce future problems like those probably caused by the first quack who sliced me apart in Glasgow for the first ACL some 15 years ago and succeeded in crippling me for life. 
This current triad of orthopaedic wizardry reckon that I might be able to function reasonably well now without an ACL, but if not, by filling in all the holes, they could take some of my right hamstring and screw it back into the now re-filled holes to act as an ACL. They would normally use my left hamstring, but that was taken in the revision ACL op some 4 years ago. So my right would have to suffice!
So all in all, I am in pain, in bed just days before Christmas and with not even the remotest sign of tinsel. I wont get out of here til 24rh at the earliest they say and now I have to amuse myself and get my head round the seriousness of my predicament, completely alone and with too many hours to think about it all..
At least I am still alive right?
_______________________________________________________________________________
Its now 11am day 2 of the recovery, (Sunday 19 December). Last night was quite literally living hell. I went through phase after phase of searing pain, like someone was burning my bones. The nurses are very kind though, and very caring. They injected me intermittently with painkiller which lasts a few hours, but the pain comes back again before they can administer another dose! 
  | 
| view from my bed | 
The hospital is wonderful actually. My room is like a 4 star suite: huge flat screen tv, kitchenette, dining table, lovely bathroom and a seating area that converts into a visitors bed. I have a large window with remote controlled curtains and the view across the city is quite interesting - another huge building site! This is like a different world compared to the hospital in Chennai that I had to stay in last year due to dengue. The food is also healthy and tasty and the atmosphere very professional and calm. The doctor came in to inspect my leg. All seems to be going to plan so far. I have 6 stitches on my hip (which is surprisingly pain free considering they removed 2 cores from the pelvis). Then I have three other wounds on my knee - one small puncture for one of their probes and two other long incisions, one with 10 stitches, the other with 4. They kindly sliced me open in the same place where I was sliced open during the first operation so at least I will only have two major scars still.
The doc says the reason why I am in such bad pain is because they basically did 4 operations in one go. Removal of a lot of torn cartilage (the stuff that cover bones at joints to ensure smooth contact surfaces), removal of 2 torn areas of my meniscus (the rubbery shock absorbing layer between the tibia and femur), the removal of the old ACL and screws - including the refilling with hip bone cores as mentioned yesterday) and finally the re-alignment of the joint using a titanium plate to reduce the same type of problems reoccurring...They have kindly issued me with a DVD of the whole thing! Makes for interesting, if gory viewing. In fact it made me wince with pain as I watched it through.
It all sounds pretty serious, well it is fairly. But the prognosis is good and the doctor says progress is fine and he is hopeful that I will be walking normally in about 2 months. In the meantime, I will not get bored as I will have hours and hours of rehabilitative physiotherapy to look forward to - joy!
So all in all not too bad, just wish I could have visitors, but because I am miles form anyone; friends or family, I will have a pretty dull time of it.
I have plenty of books downloaded onto my laptop. I have 3 New Scientists magazines to read, television, ipod and lots of physio to keep me occupied, so I will be fine.
  | 
| cup of earl grey and good looking nurses, who cares about the pain | 
I now need to hobble to the loo to go for a pee - I have to drink and thus pee a lot to wash the painkiller through otherwise they can affect my kidneys.
Just had another visit from the admissions staff. The insurance have finally sent a letter of guarantee, so at least this is all free. :)